現在のお口の状態、治療方法など
詳しい情報をお伝えしています。
痛みに配慮した優しい治療を心がけています。
安定した咬合を考えた
義歯作りを行っています

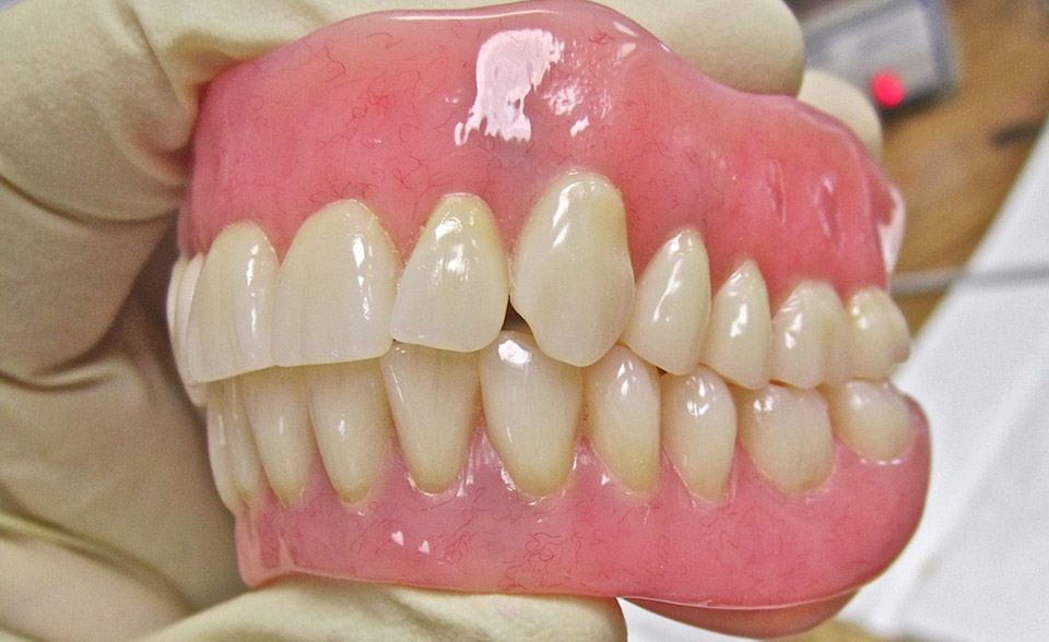
歯を抜けたままにしておくと、他の健康な歯に余計な負担をかけてしまい、その結果、他の歯の寿命も短くなってしまうことがあります。 美味しく食事を楽しんで頂くために、楽しくおしゃべりして頂くために、当院でも、随時入れ歯の作成や調整を行っております。

入れ歯にまつわるイメージに「合わない」「目立つ」というマイナスイメージがあるではないでしょうか。 しかし最近の入れ歯は格段に進歩しています。 当院でも、多くの方々にさまざまな入れ歯を作製しております。 もちろん、他医院で作られた入れ歯の調整も可能です。 入れ歯に関するお悩みがあれば、遠慮なさらずお話下さい。


最近ではさまざまな種類が流通しており、患者さんお一人おひとりの状況に合わせてお選び頂けるようになっています。



入れ歯の床にコバルトクロムやチタンなどを使用したもの。 保険の入れ歯よりも厚みを薄く作ることができます。 厚みを薄くできることで違和感も少なく、たわみや変形も少ないので、しっかりと安定した噛み心地が期待できます。


部分入れ歯の一種ですが、金属を全く使わないのが特徴です。 柔らかな素材を使用しているため使用感が良く、歯茎と同じピンク色なので目立ちにくく、入れ歯をしているけど、しているようには見えません。 また金属アレルギーがある方にはとても喜ばれております。





BPSデンチャーは、今までの義歯とは製作過程から全く異なるフルオーダーメイド製作の入れ歯です。入れ歯に特化した歯科技工士の立ち会いのもと、お口の状態をチェックし、顎や筋肉の動き、噛み合わせや発音、笑顔のバランスなどを確認しながら製作していきます。

入れ歯といっても一人一人全く違います。
一度、ご相談いただいた方が今後の治療方法や費用の目安がわかります。 当日はお話のみになります。
症例や個人差など歯と顎の状態によりできない治療もございます。各入れ歯治療の適応かどうかは、十分な検査と診断が必要となります。
ご希望に合わせた入れ歯をご提案させて頂きます。 まずは、お気軽にご相談にお越し下さい。